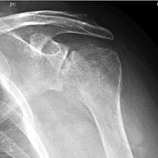
A year ago he had an injection into his shoulder, after which his shoulder pain increased dramatically. He then underwent an arthroscopic washout for a shoulder joint infection that he thinks may have been due to staphylococcus.
He then presented to us with a completely stiff shoulder and these x-rays.
We plan a debridement with cultures, a primary hemiarthroplasty and intravenous Vancomycin and Ceftriaxone.
Comment: We do not know the degree of sterile precautions that were taken at the time of his injection. In any event, this case demonstrates that shoulder injection is not without risk.
===
Use the "Search" box to the right to find other topics of interest to you.
You may be interested in some of our most visited web pages including:shoulder arthritis, total shoulder, ream and run, reverse total shoulder, CTA arthroplasty, and rotator cuff surgery as well as the 'ream and run essentials'
You may be interested in some of our most visited web pages including:shoulder arthritis, total shoulder, ream and run, reverse total shoulder, CTA arthroplasty, and rotator cuff surgery as well as the 'ream and run essentials'



