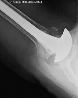
An active outdoorsman presented with a painful shoulder and a history of three prior right shoulder surgeries, the most recent being a total shoulder. His x-rays showed a superiorly placed humeral component and massive glenoid osteolysis.
A year later, he went on to have his arthritic left shoulder managed with a ream and run
At 16 months after the right shoulder revision and five months after his left ream and run, he sent these photos of his end of the year ski trip along with this note, "Shoulder continues to improve. I’ve been XC or backcountry skiing almost every day for the past month. Sore after several consecutive days of activity but pain well controlled with an occasional meloxicam."
===
To see a YouTube video on how the ream and run is done, click on this link.
=====
To see our new series of youtube videos on important shoulder surgeries and how they are done, click here.
Use the "Search" box to the right to find other topics of interest to you.
You may be interested in some of our most visited web pages arthritis, total shoulder, ream and run, reverse total shoulder, CTA arthroplasty, and rotator cuff surgery as well as the 'ream and run essentials'







