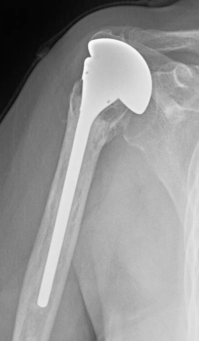
One of the principal indications for a reverse total shoulder arthroplasty is the revision of a failed anatomic arthroplasty. We have had quite a few of these cases recently and wanted to share a few examples with our readers. The problem in each of these cases was cuff / tuberosity deficiency that resulted in superior instability and pseudoparalysis (inability to elevate the arm more than 45 degrees).
As can be seen from some of these cases, revision can be technically difficult, especially if the previous prosthesis had a narrow stem securely cemented into the humeral canal. In these situations we use a 72,000 rpm bur to remove enough cement for the reverse stem. Penetration of the humeral cortex is not uncommon; when this occurs, we apply a wire mesh patch to the inside of the canal prior to cementation and insertion of the humeral prosthesis. It may be necessary to shorten the humeral stem as well. The new prosthesis is cemented in the remainder of the prior cement mantle.
Each of these cases is a thought problem and requires planning and patience.
===
To see the topics covered in this Blog, click here
Use the "Search" box to the right to find other topics of interest to you.
You may be interested in some of our most visited web pages including:shoulder arthritis, total shoulder, ream and run, reverse total shoulder, CTA arthroplasty, and rotator cuff surgery as well as the 'ream and run essentials'
See from which cities our patients come.
See the countries from which our readers come on this post.
To see the topics covered in this Blog, click here
Use the "Search" box to the right to find other topics of interest to you.
You may be interested in some of our most visited web pages including:shoulder arthritis, total shoulder, ream and run, reverse total shoulder, CTA arthroplasty, and rotator cuff surgery as well as the 'ream and run essentials'
See from which cities our patients come.
See the countries from which our readers come on this post.













