Glenoid loosening is one of the most common causes of total shoulder failure. High rates of positive cultures of Propionibacterium and coagulase-negative staphylococcus have been found among shoulders having surgical revision for glenoid component loosening.
These authors reviewed 221 patients without obvious preoperative or intraoperative evidence of infection who underwent revision shoulder arthroplasty to examine the association between the security of fixation of the glenoid component at revision surgery and the results of cultures obtained at the revision procedure.
Of the revised shoulders, 53% had positive cultures - most commonly for Priopionibacterium.
153 of the shoulders (69%) had a loose glenoid component; of these 82 (54%) had at least 1 positive culture and 44 (29%) had 2 or more positive cultures of the same microorganism.
68 of the shoulders (31%) had secure glenoid component fixation, 35 (51%) had at least 1 positive culture and 14 (21%) had 2 or more positive cultures of the same microorganism.
These results were not significantly different
Explanted glenoid components that were loose had a higher rate of culture positivity (56% [24/43]) in comparison to explanted glenoid components that were well fixed (13% [1/8]) (P = .05).
The authors concluded that Propionibacterium are commonly recovered in revision total shoulder arthroplasty, whether or not the glenoid components are loose.
Here's an interesting figure from this paper, showing some evolution in the culturing practice of these authors and the resulting effect on the rate of culture positivity.
Comment: Surgeons performing revision shoulder arthroplasty for pain, stiffness or component loosening seek preoperative clues as to whether or not the shoulder is likely to be culture positive and need special surgical and antibiotic care. Unfortunately, this study indicates that the security of the glenoid component is not a useful indicator of the likelihood of culture positivity for Propionibacterium.
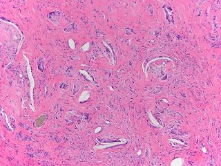
Here is a case of a failed total shoulder with many of the signs thought to be suggestive of a Propionibacterium infection: a loose glenoid component and humeral and glenoid osteolysis.
Because of a high index of suspicion, he had a single stage revision with postoperative intravenous antibiotic therapy. His cultures for Propionibacterium showed no growth; permanent sections showed a foreign body giant cell reaction with particulate debris on non-polarized and polarized microscopy as shown below.
This case again shows the difficulty in predicting culture results based on preoperative and intraoperative findings.
===
Check out the new Shoulder Arthritis Book - click here.
Use the "Search" box to the right to find other topics of interest to you.
You may be interested in some of our most visited web pages including:shoulder arthritis, total shoulder, ream and run, reverse total shoulder, CTA arthroplasty, and rotator cuff surgery as well as the 'ream and run essentials'




