These authors report on 11 patients with juvenile idiopathic arthritis (JIA) having 14 uncemented resurfacing hemiarthroplasties (RHA). The mean age at surgery was 36.4 years. Mean clinical follow-up was 10.4 years (range, 5.8-13.9 years). A significant humeral head defect (up to 40% surface area) was found in 5 shoulders and filled with autograft from the distal clavicle or femoral head allograft.
At latest follow-up, no patient had required revision. The mean Oxford Shoulder Score and Constant-Murley Score improved significantly. Worse outcome was associated with an intraoperative finding of significant humeral head erosion. There were no instances of radiographic implant loosening or proximal migration. Painless glenoid erosion was seen in 5 shoulders but was not associated with worse outcome.
Comment: There are many challenges in managing individuals with JRA, some of which include small size, multiple joint involvement (including elbow, hand, wrist, lower extremities, jaw and neck), and medical management (often including steroids and methotrexate). Each of these factors complicates the surgical approach to the severe degree of arthritis often encountered in their shoulders with head, glenoid and tuberosity destruction.
As illustrated in this article, standard stem humeral implants can be difficult to insert completely because of the small canal size
This is an important series of cases by an experienced surgeon with no patients lost to followup and a mean postoperative clinical follow-up of 10.4 years.
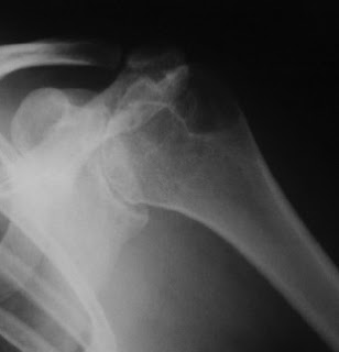
Comment: There are many challenges in managing individuals with JRA, some of which include small size, multiple joint involvement (including elbow, hand, wrist, lower extremities, jaw and neck), and medical management (often including steroids and methotrexate). Each of these factors complicates the surgical approach to the severe degree of arthritis often encountered in their shoulders with head, glenoid and tuberosity destruction.
As illustrated in this article, standard stem humeral implants can be difficult to insert completely because of the small canal size
The tightness of the joint also makes anatomic positioning of a resurfacing implant difficult as shown below.
=====
Use the "Search" box to the right to find other topics of interest to you.
You may be interested in some of our most visited web pages including:shoulder arthritis, total shoulder, ream and run, reverse total shoulder, CTA arthroplasty, and rotator cuff surgery as well as the 'ream and run essentials'



