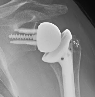
A woman in her late 50s had shoulder pain and weakness of her left shoulder after a failed cuff repair.
She desired a reverse total shoulder. At surgery there was an intact subscapularis but absent supraspinatus and infraspinatus.
Her sequential Grashey views are shown here
1.4 months post op
3 months post op5.9 months post op. At this time she complained of some left shoulder pain after lifting her grandchild.
7.4 months post op. The left shoulder pain remained.
Comment: The post operative views suggest incomplete seating of the base plate, which may have subjected the screws to bending forces leading to their failure from fatigue.
===
To see our technique for reverse total shoulder, click on this link.
To support our research to improve outcomes for patients with shoulder problems, click here.
To subscribe to this blog, enter your email in the box to your right
=====
How you can support research in shoulder surgery Click on this link.
To see our new series of youtube videos on important shoulder surgeries and how they are done, click here.
How you can support research in shoulder surgery Click on this link.
To see our new series of youtube videos on important shoulder surgeries and how they are done, click here.
Be sure to visit "Ream and Run - the state of the art" regarding this radically conservative approach to shoulder arthritis at this link and this link. Also see the essentials of the ream and run.
Use the "Search" box to the right to find other topics of interest to you.
You may be interested in some of our most visited web pages arthritis, total shoulder, ream and run, reverse total shoulder, CTA arthroplasty, and rotator cuff surgery





