She requested a total shoulder arthroplasty and had an excellent clinical result. Post operative films are shown below.
She then returned asking for 'the same' procedure on her right shoulder.
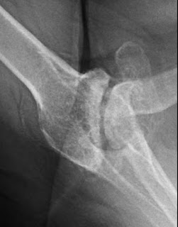
She could not be interested in a reverse total shoulder, even after extensive counseling about the severity of her pathoanatomy.
With some conservative sculpting of her glenoid, we were able to establish a secure, appropriately contoured glenoid bone surface onto which a standard glenoid component was secured. Sufficient glenoid bone stock remains for a reverse total shoulder should this reconstruction fail in the future.
Her postoperative x-rays are shown below.
Both shoulders are now comfortable and functional. We are following her recovery closely.
=====
The reader may also be interested in these posts:
Consultation for those who live a distance away from Seattle.
Click here to see the new Shoulder Arthritis Book.
Click here to see the new Rotator Cuff Book
Information about shoulder exercises can be found at this link.
Use the "Search" box to the right to find other topics of interest to you.
You may be interested in some of our most visited web pages including:shoulder arthritis, total shoulder, ream and run, reverse total shoulder, CTA arthroplasty, and rotator cuff surgery as well as the 'ream and run essentials'
See from which cities our patients come.
See the countries from which our readers come on this post.








