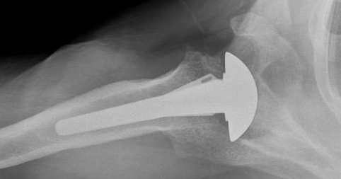
He elected a ream and run procedure to avoid the possibility of plastic glenoid failure.
His postoperative x-rays are shown here
Six months after his surgery he reported improvement in his shoulder, including the ability to lift 350 Lbs x 5 reps x 5 sets as shown in this video
Comment: Patients have pointed out that 'pulling' exercises, such as that shown here as well as rowing and lat pull downs, are often tolerated early in the ream and run recovery process that 'pushing' exercises, such as the bench press.
====The reader may also be interested in these posts:
Consultation for those who live a distance away from Seattle.
Click here to see the new Shoulder Arthritis Book.
Click here to see the new Rotator Cuff Book
Information about shoulder exercises can be found at this link.
Use the "Search" box to the right to find other topics of interest to you.
You may be interested in some of our most visited web pages including:shoulder arthritis, total shoulder, ream and run, reverse total shoulder, CTA arthroplasty, and rotator cuff surgery as well as the 'ream and run essentials'
See from which cities our patients come.
See the countries from which our readers come on this post.



