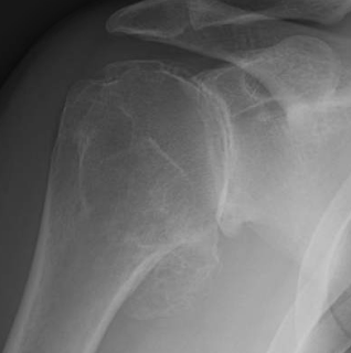
Here is the preop film of a man in his mid forties who came from California for us to perform a ream and run procedure on his right shoulder.
Here is a post op film four years later showing the soft tissue space that has regenerated between his humeral head prosthesis and his glenoid bone.
He had us do a left shoulder in late 2010.
In September 2012 he completed the Tough Mudder course with no issues: "It’s an 11.5 mile run/obstacle course at altitude, wouldn’t have been able to do that pre-replacement. Happy to report that my shoulders did great!"
A while back he kindly sent this video of him throwing batting practice (with its associated hazards).
I'm now 11 years in on my right shoulder and 9 years on my left. I continue to work out as much as I can, 1-2 times a week with weights and doing something active most every day. I'm still the best scout team QB on the coaching staff and estimate I've thrown 40,000 (+/- 5K) batting practice pitches since the procedure. Worth noting, at the 1 year mark after the procedure I started throwing a tennis ball 5-10 feet against a wall and progressed from there. I probably started throwing actual batting practice 2 years after the procedure. If the scale is 1-10, put me down for an 11.
Needless to say, he put a huge effort into rehabilitating his shoulder - it seems to be paying off!
===
Use the "Search" box to the right to find other topics of interest to you.
You may be interested in some of our most visited web pages including:shoulder arthritis, total shoulder, ream and run, reverse total shoulder, CTA arthroplasty, and rotator cuff surgery as well as the 'ream and run essentials'
Use the "Search" box to the right to find other topics of interest to you.
You may be interested in some of our most visited web pages including:shoulder arthritis, total shoulder, ream and run, reverse total shoulder, CTA arthroplasty, and rotator cuff surgery as well as the 'ream and run essentials'

