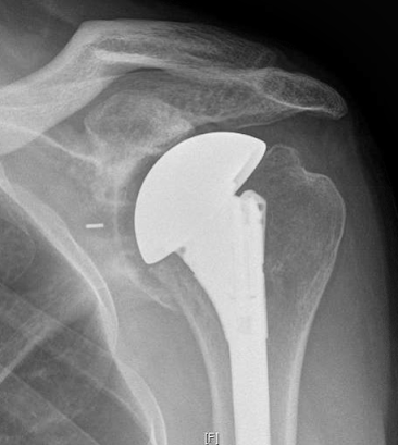
We just met for the first time a 40 year old male laborer who at the age of 30 had a hemicap apparently for shoulder arthritis. While we do not have his preoperative films, his post op is shown here.
He apparently was not pleased with his functional result so this was revised to an anatomic total shoulder five years later. 
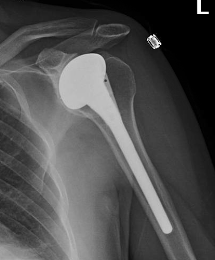
Four years after his total shoulder he was having problems and had this x-ray taken
Five years after his total shoulder he presented to our office with a painful stiff shoulder. The x-rays at the time of his visit are shown below showing thinning of the radiographic space of the glenoid component and medial erosion of the glenoid bone.
The patient is considering a single stage revision with the red antibiotic protocol.
Comment: This case demonstrates some of the difficulties in managing arthritis in the younger patient. The previous surgeons considered first the "conservative" option of a hemicap and then the "definitive" option of a total shoulder - neither of these worked out.
An option we consider for managing disabling glenohumeral arthritis in the young patient is the ream and run procedure described in this link. 






 
