The authors of the JBJS 2022 version of What’s New in Shoulder and Elbow Surgery provided a review of what they viewed as most impactful studies related to shoulder and elbow surgery published from April 2021 to March 2022. Their thoughts regarding rotator cuff repair are quoted below:
"The decision to indicate operative repair for degenerative rotator cuff tears is controversial. Kukkonen et al. (see this link) provided a mean 6.2-year follow-up in 150 patients who were >55 years of age; had small, full-thickness supraspinatus tears; and were randomized to physiotherapy only, acromioplasty and physiotherapy, or repair, acromioplasty, and physiotherapy. The mean change in Constant score (the primary outcome) was similar in the 3 groups, as were changes in the visual analog scale (VAS) pain and satisfaction scores. There was a significant progression of arthritis from baseline to follow-up for the entire cohort without a difference between groups. The authors suggested that operative repair is no better than conservative treatment and does not protect against degeneration of the glenohumeral joint."
This reinforces the message of a prior post, which is reproduced here:
Rotator cuff lesions are the most common afflictions of the shoulder.
While some of these lesions result from acute injury to previously healthy cuff tendons, the great majority result from age related wear and degeneration. Often this degeneration occurs unnoticed by the patient - the shoulder progressively accommodates to the loss of normal tendon integrity resulting in an asymptomatic cuff tear.
Acute injury to a previously well-functioning shoulder deserves acute evaluation by radiographs and MRI. If an acute rotator cuff tear is identified, consideration is given to an expeditious rotator cuff repair with the goal of preventing further deterioration of the cuff tendon and muscle.
Patients with chronic cuff defects often continue to function well because their shoulder adapts to the tendon degeneration. These patients are commonly unnoticed by the medical community (how would we know if a person without symptoms would have an abnormal rotator cuff?), but the available data suggest that most individuals over the age of 60 have rotator cuff lesions ranging from tendon thinning to massive full-thickness tears. Several scenarios may cause chronic cuff lesions to come to medical attention:
1. They may become symptomatic by sudden extension of the tear, i.e. acute injury superimposed on chronic degeneration.
2. Progressive loss of functioning tendon may result in noticeable weakness and/or pain.
As pointed out in a previous post (see this link), the patient's threshold for seeking medical evaluation can be influenced by factors such as depression, anxiety and on the job injury.
Because chronic cuff tears are not acute, decisions regarding surgery are not urgent. There is time to try to improve the shoulder comfort and function through gentle progressive mobility and strengthening exercises as shown in this link.
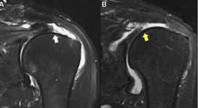
By definition, chronic, minimally traumatic cuff tears occur in tendons of inferior quality so that attempts at surgical repair are less likely to be as successful in contrast to the acute, traumatic tear. In considering the prospect of surgical repair, the surgeon and the patient should be aware of Harrison McLaughlin's admonition from 1951, "The wise surgeon, realizing that he may find little but rotten cloth to sew, will operate only by necessity and make a carefully guarded prognosis". Thus the surgeon and the patient need to know the likelihood of a successful outcome before attempting a repair for a chronic rotator cuff defect. The best prognosis for a durable repair is for tendons with only small amounts of tendon retraction away from the normal attachment on the greater tuberosity as seen on an MRI (below left - moderate retraction, below right - severe retraction)
and with minimal degeneration of the quality of the cuff tendon and muscle as seen on the MRI. Cuff tendon degeneration and fatty degeneration of the cuff muscles are correlated with patient age, tear chronicity, and size of the cuff defect.
The Goutallier classification is commonly used to characterize the status of the cuff muscles:
(a) Stage 0, no fatty deposits, (b) Stage 1, some fatty streaks, (c) Stage 2, more muscle than fat, (d) Stage 3, as much muscle as fat, (e) Stage 4, less muscle than fat.
A recent article, The Relationship between Preoperative Goutallier Stage and Retear Rates following Posterosuperior Rotator Cuff Repair: A Systematic Review, points out the high percentage of retears after rotator cuff repair attempts. In a systematic review of articles on primary cuff repairs, they correlated the retear rate after cuff repair with the preoperative fatty degeneration of the supraspinatus and infraspinatus muscles as characterized by the Goutallier Stage.
In the plot of their data below, it can be seen that retears are common for all Goutallier stages, ranging from 20% to 100%.
Thus an MRI can inform the patient and the surgeon about the degree of retraction and the quality of the tendon, both of which are predictive of the chance of a successful repair. If the tendon is retracted and of poor quality, the chances of failure of the repair are high.
Patients with irreparable rotator cuff tears with retained active elevation above the horizontal may benefit from a smooth and move procedure (see this link).
Other options for the management of irreparable rotator cuff tears with severe weakness include tendon transfers (see this link) and reverse total shoulder arthroplasty (see this link)
Follow on twitter: https://twitter.com/shoulderarth
Follow on facebook: click on this link
Follow on facebook: https://www.facebook.com/frederick.matsen
Follow on LinkedIn: https://www.linkedin.com/in/rick-matsen-88b1a8133/
Here are some videos that are of shoulder interestShoulder arthritis - what you need to know (see this link).How to x-ray the shoulder (see this link).The ream and run procedure (see this link).The total shoulder arthroplasty (see this link).The cuff tear arthropathy arthroplasty (see this link).The reverse total shoulder arthroplasty (see this link).The smooth and move procedure for irreparable rotator cuff tears (see this link).Shoulder rehabilitation exercises (see this link).
Follow on twitter: https://twitter.com/shoulderarth
Follow on facebook: click on this link
Follow on facebook: https://www.facebook.com/frederick.matsen
Follow on LinkedIn: https://www.linkedin.com/in/rick-matsen-88b1a8133/



