We recently had the opportunity to see a patient in his mid forties who had had a right shoulder SLAP repair, biceps tenodesis and anterior labral repair 8 years ago with repeat labral repairs 5 and 4 years ago. He complained of painful grinding in his shoulder with most activities and while trying to sleep at night.
On examination the shoulder had good range of motion but motion was painful and crepitant.
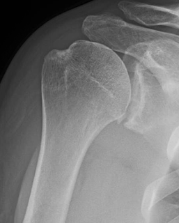
His x-ray on presentation showed only minimal osteophyte formation and no joint space narrowing.
An MRI suggested patchy loss of humeral articular cartilage.
At surgery, no prominent suture anchors were found and the glenoid articular surface was intact. However the humeral articular surface showed focal full thickness cartilage defects.
At surgery we carefully measured the size and shape of his resected humeral head
And replaced it with an anatomically matching impaction grafted humeral component.
Immediately after surgery his motion was excellent and his crepitance on motion was absent.
Comment: We are unsure of the exact cause of his post arthroscopic cartilage defects. This does demonstrate the utility of an MRI in the uncommon situation where the cause of crepitance is not apparent on plain films.
====
We have a new set of shoulder youtubes about the shoulder, check them out at this link.
Be sure to visit "Ream and Run - the state of the art" regarding this radically conservative approach to shoulder arthritis at this link and this link
Use the "Search" box to the right to find other topics of interest to you.
How you can support progress in shoulder surgery
You may be interested in some of our most visited web pages arthritis, total shoulder, ream and run, reverse total shoulder, CTA arthroplasty, and rotator cuff surgery as well as the 'ream and run essentials'
How you can support progress in shoulder surgery
You may be interested in some of our most visited web pages arthritis, total shoulder, ream and run, reverse total shoulder, CTA arthroplasty, and rotator cuff surgery as well as the 'ream and run essentials'



