A fifty-five year old outdoorsman presented with pain, stiffness and feelings of instability in the right shoulder.
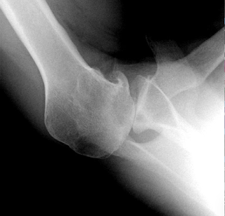
An AP x-ray in the plane of the scapula showed osteoarthritis with overlap of the humeral and glenoid articular surfaces.
The glenoid was reamed to 58 mm diameter without attempting change glenoid version. After trialing, a 56 mm diameter of curvature humeral head with a 21 mm thickness and anterior eccentricity and a 14 mm stem was impaction autografted into his humeral canal. No rotator interval plication was needed.
Now ten years after his ream and run procedure, his AP view shows a regenerated glenoid joint surface and a secure impaction grafted stem without evidence of stress shielding
His axillary "truth" view shows again a regenerated glenoid joint surface with centering of the anteriorly eccentric humeral head on the glenoid. The biconcavity and decentering evident on his preoperative axillary have been eliminated.Interestingly he points out with regular stretching, his range of motion has progressively improved over the last decade.
He concludes that the ream and run "may not be for everyone, but those hoping to regain active use of their arm for sports and recreation, it’s a lifesaver. I have a high degree of confidence in the continued performance of the joint for the remainder of my active outdoor life."
===



