These authors carried out a retrospective chart review of 198 of their patients undergoing anatomic or reverse total shoulder arthroplasty or hemiarthroplasties to determine the prevalence of inpatient and outpatient falls up to 90 days after discharge.
There were 23 falls in 22 patients within a 90-day postoperative period. The inpatient fall rate was 1.0% (2 of 198). The outpatient fall rate was 10.6% (21 of 198). Outpatient falls resulted in emergency department evaluation in 23.8% of cases (5 of 21), readmission in 19.0% (4 of 21), injury to an anatomic site other than the shoulder in 19.0% (4 of 21), and injury at the surgical site (eg, periprosthetic humeral fracture) in 4.8% (1 of 21).
No significant risk factors were identified for inpatient falls.
Independent risk factors for an outpatient fall were female sex, increased length of hospital stay, and history of a movement disorder (Parkinson's, stroke, paraplegia).
Almost a quarter (23.8%) of outpatient falls resulted in a new, serious injury.
Nearly half of outpatient falls occurred within 30 days of discharge, while 38% occurred in the last third of the 90-day postoperative period. More than half of outpatient falls occurred in the 6-week period in which patients are instructed to wear shoulder slings to allow the subscapularis tendon to heal.
Comment: A fall can destroy the prospects of a good outcome following shoulder arthroplasty. We make it a practice to discuss and address fall risk prior to surgery, stressing the importance of proper eye-wear, avoiding loose carpets, stairways without railing or adequate lighting, icy surfaces and rushing around. If movement disorders, cardiac conditions, stroke, epilepsy or similar conditions are present, we insist that these be optimized prior to surgery. We minimize the use of narcotics and other medications that increase fall risk. In the office we observe the patient's ability to rise from a chair and walk as well as the need for canes, crutches, or walkers.
Finally, we incorporate our fall risk assessment in our selection of the type of surgery, for example using a CTA arthroplasty rather than a reverse for patients with cuff tear arthropathy and a high risk of falls.
Many of our patients with classical cuff tear arthropathy want to lead active lives. They wish to avoid a reverse total shoulder because of concerns about activity limitations, dislocation, screw breakage or humeral shaft fracture should they fall. If these individuals have active elevation > 90 degrees and have no evidence of anterior superior instability, we discuss the option of a CTA prosthesis.
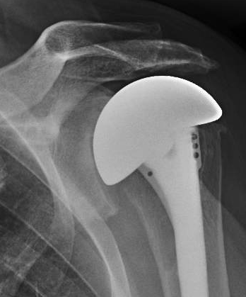
Here's the example of a lady in her mid sixties with a failed cuff repair. Two years after that surgery she presented to us with a weak and painful shoulder. She was taking prednisone, methotrexate and Humira for her rheumatoid arthritis. She had active elevation to 110 and passive elevation to 160 degrees. Her x-rays at this time are shown below.
She elected a CTA arthroplasty. At surgery she had an irreparable cuff defect involving her supraspinatus and infraspinatus.
She dropped by to see us nine years after surgery. Her films at that time are shown below.
Her shoulder was painless. Her active elevation is shown below.
As another example we recently we saw an active physician-rancher who had had bilateral CTA prostheses performed after failed cuff repairs. Because he recognized that his ranching was demanding on his shoulders and carried the risk of falls, he preferred the CTA over the reverse total shoulder.
Before his left shoulder surgery his films were as shown below and he reported the ability to perform only 5 of the 12 Simple Shoulder Test functions. He was able to elevate his arm to over 90 degrees and had no anterosuperior instability.

At the time of surgery he had no supraspinatus, no infraspinatus and a detached subscapularis.
We were able to reattach his subscapularis.
At four years after surgery, he could perform 8 of the 12 SST functions and had the radiographs shown below. Note the impaction grafted humeral stem and the articulation of the prosthesis with the undersurface of the coracoacromial arch.

Two years after his right shoulder arthroplasty he could perform 8/12 SST functions and was back at work on his ranch. His 2 year films are shown below.

To see our technique for the CTA arthroplasty, click on this link.
Here's the example of a lady in her mid sixties with a failed cuff repair. Two years after that surgery she presented to us with a weak and painful shoulder. She was taking prednisone, methotrexate and Humira for her rheumatoid arthritis. She had active elevation to 110 and passive elevation to 160 degrees. Her x-rays at this time are shown below.
She elected a CTA arthroplasty. At surgery she had an irreparable cuff defect involving her supraspinatus and infraspinatus.
She dropped by to see us nine years after surgery. Her films at that time are shown below.
Her shoulder was painless. Her active elevation is shown below.
As another example we recently we saw an active physician-rancher who had had bilateral CTA prostheses performed after failed cuff repairs. Because he recognized that his ranching was demanding on his shoulders and carried the risk of falls, he preferred the CTA over the reverse total shoulder.
Before his left shoulder surgery his films were as shown below and he reported the ability to perform only 5 of the 12 Simple Shoulder Test functions. He was able to elevate his arm to over 90 degrees and had no anterosuperior instability.

At the time of surgery he had no supraspinatus, no infraspinatus and a detached subscapularis.
We were able to reattach his subscapularis.
At four years after surgery, he could perform 8 of the 12 SST functions and had the radiographs shown below. Note the impaction grafted humeral stem and the articulation of the prosthesis with the undersurface of the coracoacromial arch.

Two years ago he presented with a similar situation in his right shoulder. His SST score was 3/12. He had active elevation of 100 degrees without anterosuperior escape. His preoperative x-rays shown below.

Here's a video of his function at his last clinic visit.
=====
We have a new set of shoulder youtubes about the shoulder, check them out at this link.
Be sure to visit "Ream and Run - the state of the art" regarding this radically conservative approach to shoulder arthritis at this link and this link
Use the "Search" box to the right to find other topics of interest to you.













